Skip to navigation
Skip to content
About Us
CityU VDL
The Team
Veterinary Pathologists
Laboratory Section Heads
Lab Sections
Anatomic Pathology
Clinical Pathology
Microbiology
Molecular Diagnostics
Serology & Immunology
Available Tests
Information
List of Tests
Pathologist Blood Smear (CBC) Review Protocols
Client Guideline
Sample Submission
Sample Collection Guide
Cytology
Histology
Post Mortem
Fluid Cytology & Fluid Analysis
Blood Tubes for Clinical Pathology
Practice Tips
Laboratory Testing
Collection Tube
Post-prandial Lipemia
Sample Volume
Sample Handling And Submission
Diagnosis and Monitoring of Hyperadrenocorticism
Characterising Tumours on Cytology
Thyroid Function Tests and Feline Thyroid Disease
News & Announcement
News
Newsletters
Recent Cases
Recent Publications
Resources
Resources
Training Video
Contact Us
Contact Us
View in Google Map
城市大学 VDL 更新
消息
2021年和2022年的新闻
2018年和2019年的新闻
新闻简报
当前问题
档案问题
近期病例
近期出版物
Recent cases
2019年8月27日
病例 9:兔兔眼葡萄膜炎
2019年8月27日
案例8:龟类体内的吸虫
2018年8月15日
病例7:幼犬囊孢子虫感染
2018年8月15日
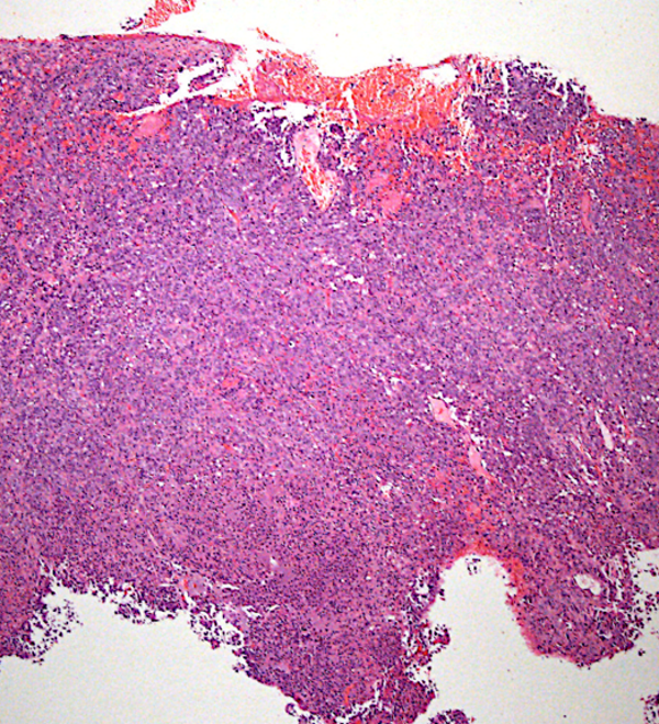
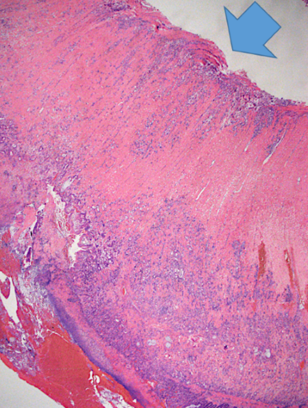
病例6:牙龈黑色素瘤
2018年8月15日
病例5:细菌性脓皮病
2018年8月15日
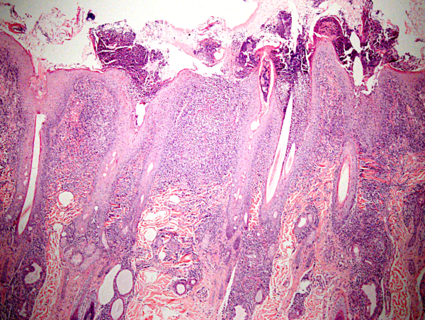
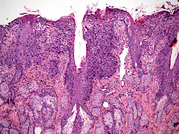
病例4:耳部原位癌
2018年8月15日
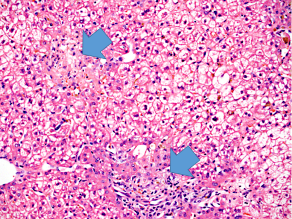
病例3:中性粒细胞性肝炎
2018年8月14日
病例2:肠腺癌
2018年8月14日
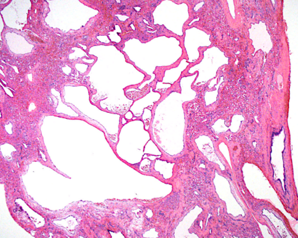
病例1:肝管板异常