样品处理和提交
采集后,应尽快(理想情况下在采集后2小时内)将样本送至实验室进行分析。如果延迟送检,体外实验中可能发生变化(或分析前误差),从而影响结果的准确性。如果样本无法立即送检,正确的处理和储存方法可以最大限度地减少这些分析前误差。例如,用于化学分析的血浆或血清应分别在血液凝固后立即与血细胞分离。血浆或血清应转移至不含任何添加剂的洁净试管中。由于正常的细胞代谢过程,延迟分离血浆或血清会导致葡萄糖和pH值出现假性下降。这也会干扰游离钙离子(升高)和碳酸氢根离子(降低)等分析物的测定。在红细胞内钾浓度较高的动物(例如马、牛和亚洲犬种)中,还可能发生钾等细胞成分的渗漏。重要的是,使用凝胶分离管并不能避免这些分析前误差,因此应在离心后从试管中收集血清。在小型动物中,血液放入不含抗凝剂的试管后,通常会在几分钟内凝固。在大型动物中,凝固可能需要长达
30 分钟。将样本在 37°C 下孵育至少 10 分钟可以促进凝固。收集后,血浆或血清应储存在 4°C 直至送检(大多数分析物在冷藏条件下可稳定保存长达 48 小时)。
用于全血细胞计数 (CBC)
的血液样本同样会受到体外变化的影响,例如延迟送检和样本老化。常见的分析前误差是体外细胞肿胀,这是由于细胞开始从血浆中吸收水分所致。这通常表现为红细胞平均体积 (MCV)
假性升高和/或平均红细胞血红蛋白浓度 (MCHC) 降低(这种模式类似于再生性贫血)。此外,这也会导致血细胞比容假性升高。形态学老化变化也通常发生。由于 ATP
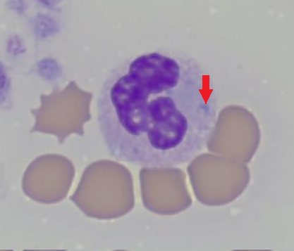
耗竭,红细胞通常会变成棘状红细胞,这一点很重要,因为它可能会掩盖更重要的红细胞形态学改变。白细胞,特别是中性粒细胞,也会出现细胞肿胀。核分叶变得不清晰,并出现多勒小体(图 1
A 和 B),分别类似于核左移和中毒性改变。淋巴细胞的细胞核肿胀,改变了染色质特征,这可能导致难以准确区分大的反应性淋巴细胞或肿瘤性淋巴细胞。随着时间的推移,细胞会破裂(图 1
C)。
A

新鲜血涂片中的分叶核粒细胞 。
|
B

核肿胀和多勒小体(箭头所示),48 小时血培养
|
C

破裂的(篮状)细胞,由游离的核物质组成
|
所有这些衰老变化都可能影响血细胞分类计数的准确性以及白细胞和红细胞形态的评估。血小板也可能开始聚集,导致计数假性降低或平均血小板体积(MPV)升高。这些分析前误差可以通过以下方法最大程度地减少或避免:将样本冷藏或用冰袋保冷(避免直接接触,因为这会导致样本冻结和溶血),并在采集样本后立即制作至少一张血涂片。血涂片应与抗凝血一起提交,无需固定和染色。请注意,与抗凝血不同,血涂片应在室温下保存(冷藏会导致细胞溶解)。
总之,有多种分析前变量会累积影响实验室分析的准确性。了解这些分析前变量、如何预防或尽量减少它们的影响,以及在解释结果时考虑这些变量,都至关重要。
1. CLSI GP41,《诊断性静脉血标本采集》,第7版